Species introCountry intro
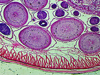
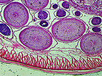
Roundworm (Female) with Labels - Ascaris lumbricoides
Ascaris lumbricoides is a large roundworm that infects humans. It grows to 35 cm (14 in)!!
It causes ascariasis, which is a Neglected Tropical Disease (NTG). Worldwide, approximately 1 billion people are infected with this nematode, with infection being more prevalent in tropical areas where sanitation is poor. It infects humans via the fecal-oral route...eggs are shed in feces and then get ingested. Hygiene is crucial to preventing the spread of this disease because it is one of the most difficult pathogens in the world to kill (the eggs can survive several years!).
*Microscope slide; cross-section





''Ascaris lumbricoides'' is the "large roundworm" of humans, growing to a length of up to 35 cm. It is one of several species of ''Ascaris''. An ascarid nematode of the phylum Nematoda, it is the most common parasitic worm in humans. This organism is responsible for the disease ascariasis, a type of helminthiasis and one of the group of neglected tropical diseases. An estimated one-sixth of the human population is infected by ''A. lumbricoides'' or another roundworm. Ascariasis is prevalent worldwide,.. more