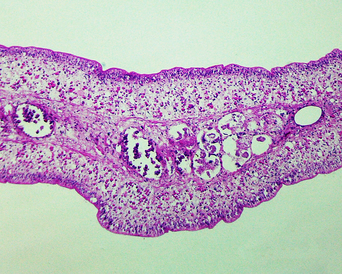
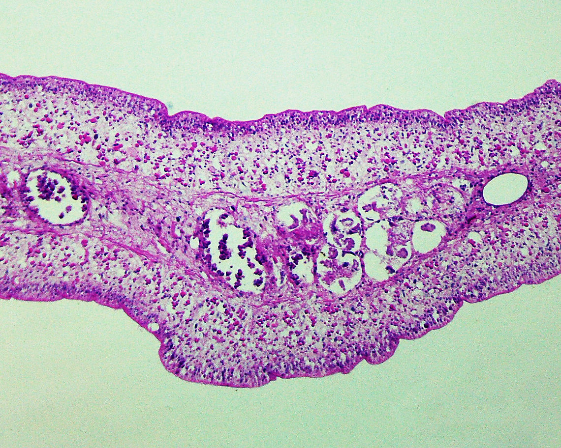
Beef Tapeworm - Taenia saginata
The beef tapeworm is a zoonotic parasite in which cattle are the intermediate hosts (where larval development occurs) and humans are definitive hosts (harboring the adult worms).
This tapeworm causes taeniasis in humans, which is often asymptomatic. But, a heavy infection can cause weight loss, abdominal pain, diarrhea, nausea, chronic indigestion, etc. Intestinal obstruction is a severe consequence of infection. Most infections clear up in 2-3 years without treatment.
*Cross-section microscope slide

''Taenia saginata'', commonly known as the beef tapeworm, is a zoonotic tapeworm belonging to the order Cyclophyllidea and genus ''Taenia''. It is an intestinal parasite in humans causing taeniasis and cysticercosis in cattle. Cattle are the intermediate hosts, where larval development occurs, while humans are definitive hosts harbouring the adult worms.