
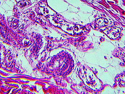
Rocky Mountain Spotted Fever (RMSF) - Rickettsia rickettsii
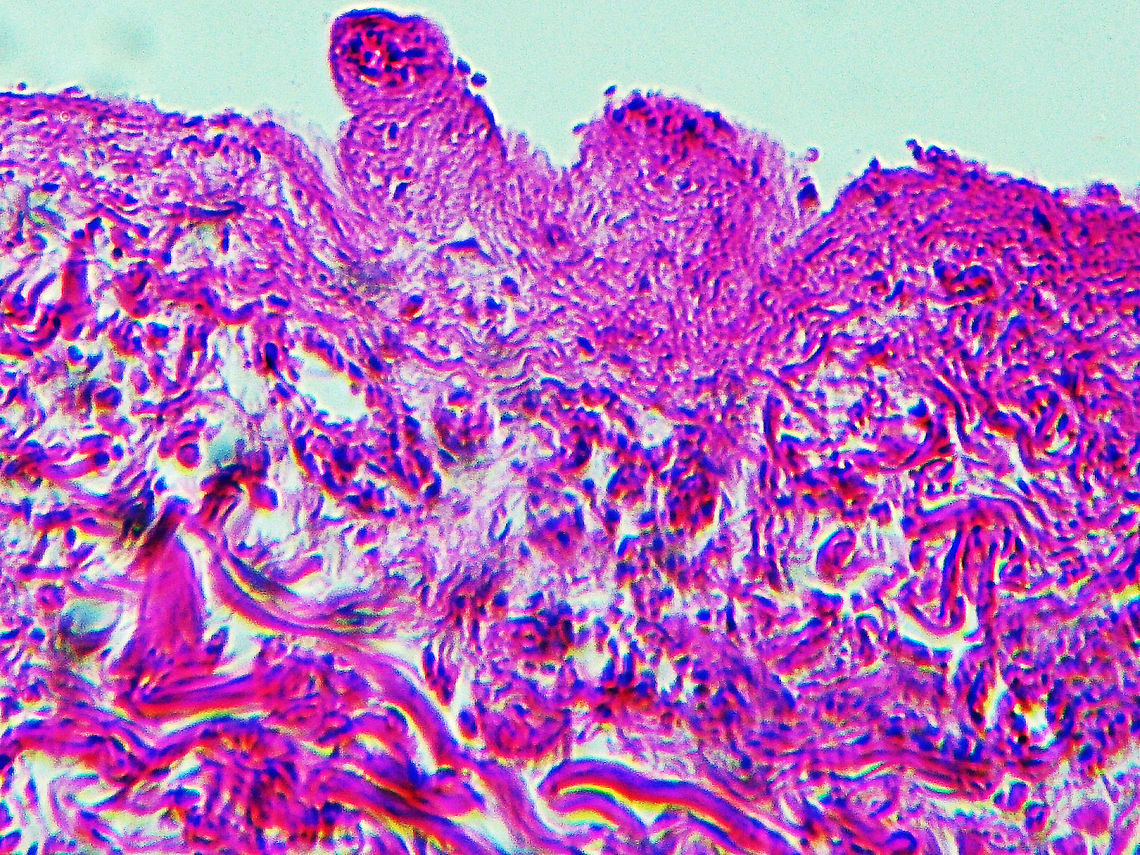
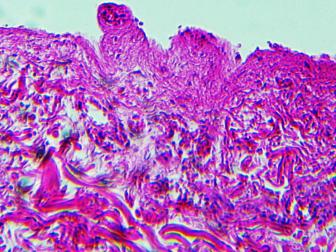
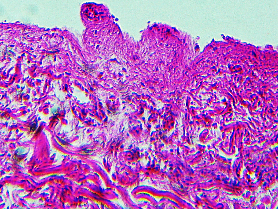
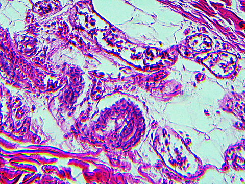
This slide is a skin biopsy from a person infected with Rickettsia rickettsii (the causative agent of Rocky Mountain Spotted Fever). It shows necrosis, vasculitis, and inflammation.
RMSF is a serious, life-threatening tick-borne disease. It's often misdiagnosed. A classic RMSF symptom is a rash, which occurs in about 90% of patients. The disease was first identified in the Rocky Mountains, but can also be found in parts of Canada, Mexico, as well as South and Central America.

''Rickettsia rickettsii'' is a Gram-negative, intracellular, coccobacillus bacterium that is around 0.8 to 2.0 μm long. ''R. rickettsii'' is the causative agent of Rocky Mountain spotted fever. ''R. rickettsii'' is one of the most pathogenic ''Rickettsia'' strains. It affects a large majority of the Western Hemisphere and small portions of the Eastern Hemisphere.
comments (8)