
Onchocherca volvulus
Onchocherca volvulus is a nematode that causes onchocerciasis (river blindness). It is a leading cause of blindness and is transmitted by blackflies (Simulium sp.). It is especially problematic in sub-Saharan Africa. Humans are the only known host.
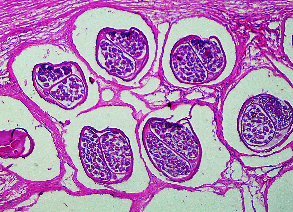
This slide shows the cross-section of female nematodes. The surrounding tissues are from the host.
If you are unfamiliar with the manifestation of illness that this parasite causes, check out this link:
https://s160131.gridserver.com/wp-content/uploads/2013/04/5634399336_8737e9fb2b_o.jpg

''Onchocerca volvulus'' is a filarial nematode that causes onchocerciasis, and is the second-leading cause of blindness worldwide after trachoma. It is one of the 20 neglected tropical diseases listed by the World Health Organization, with elimination from certain countries expected by 2020.
comments (2)